Teeth bonding is a procedure in which a tooth-colored resin
material (a durable plastic material) is applied and hardened with a special
light, which ultimately "bonds" the material to the tooth to restore
or improve a person's smile
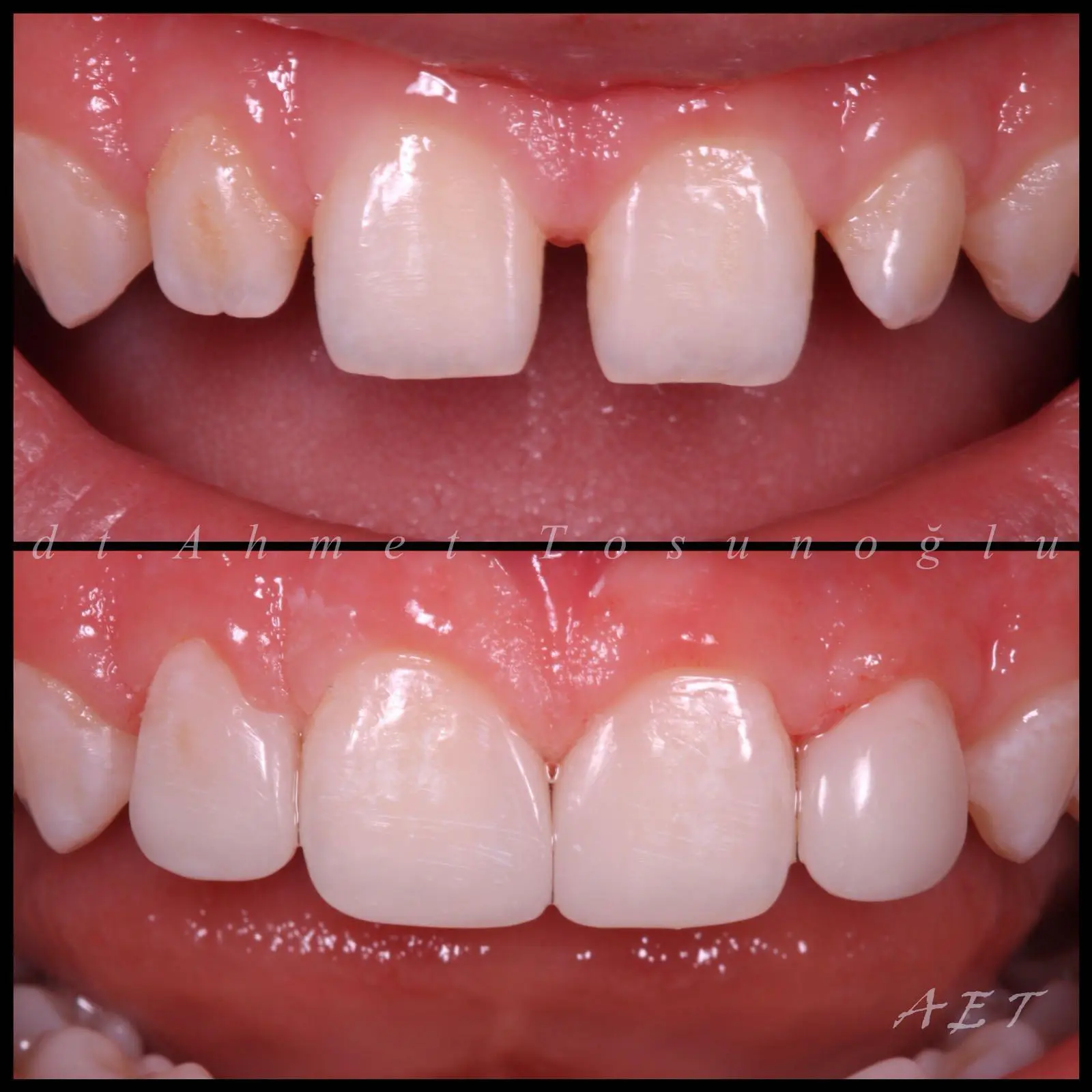
Composite bonding is a modern way to restore teeth, either
for cosmetic reasons, or to build up tooth structure that has been lost. It
involves bonding a tooth coloured resin material to existing teeth to reshape
them or improve their colour.
We bond on very strongly the resin material, polish it up,
and this will last for many years.
Composite bonding is appropriate for pretty much every
patient.
Bonding is not necessary, it is purely cosmetic. Bonding
does not require the dentist to remove any part of your tooth usually.
It is composite material that is glued to your teeth to give
them your preferred shape or colour.
many of our Side Dental Clinic practices offer
cosmetic composite bonding as a private service.
-Teeth bonding is an option that can be considered:
-To repair decayed teeth (composite resins are used to fill
cavities)
-To repair chipped or cracked teeth
-To improve the appearance of discolored teeth
-To close spaces between teeth
-To make teeth look longer
-To change the shape of teeth
-As a cosmetic alternative to amalgam fillings
-To protect a portion of the tooth's root that has been
exposed when gums recede
Composite bonding can usually be carried out in just one
visit to the dentist. It’s a fast and effective way to fix minor cosmetic
issues. The composite is hardened using UV light as soon as it’s applied,
resulting in a tooth that can comfortably bite down by the end of the
appointment.
Bonding is also a non-invasive procedure. With alternatives
such as crowns and veneers, part of the tooth is permanently removed. For
composite bonding to be applied, the surface of the tooth only has to be
roughened to help the resin to bond, meaning the structure of the tooth remains
intact.
The usual alternative options to composite bonding are
Veneers - A veneer is a thin moulding custom-made from
porcelain, which is bonded to the front surface of a tooth. They can also be
used to cover gaps in teeth where orthodontic treatment may not be suitable.
Crowns - A crown is a tooth-shaped ‘cap’ that’s placed over
the entire visible portion of your tooth. A crown will feel and function just
like any of your other teeth. And if you choose to have a porcelain crown, it
will be virtually indistinguishable from your other teeth.
Both of these alternatives cause some damage to teeth.
Veneers are a popular option which can last for many years but as they are made
from porcelain, the tooth has to be cut down to fit them, which causes some
permanent damage. Similarly, for a crown to be fitted, a dentist has to remove
some of the healthy part of your tooth.
Bonding is a quick, less expensive and non-invasive
procedure, and it can be easily repaired if damaged or broken.
Talk to your dentist about your options. They will be able
to advise you on whether composite bonding is the right treatment for you.
Alternatively, speak to your local Side Dental Clinic practice, they'll
happily answer any questions you might have.






"Such a pleasant company to deal with, great communication and service... Can totally recommend"
Official Partner
Certified Clinic
Internationally Accredited Health Tourism Provider