A smile makeover can
totally transform your smile- but how? Read on to learn what a smile makeover
involves.
Your smile says a lot about you.
It lets people know whether you're happy or sad. Whether
you're talkative or shy. If you feel comfortable in your own skin.
Yes, people can tell a lot from a smile. So what is your
smile saying about you?
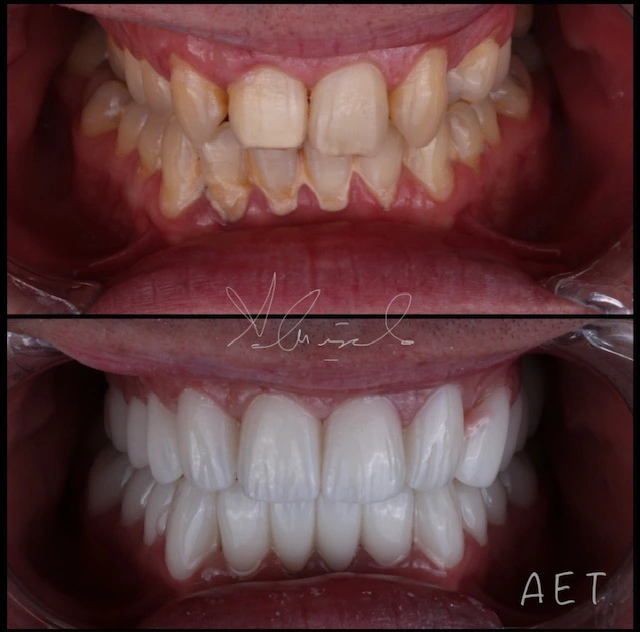
A beautiful smile is something many people desire, but few
naturally have. The good news is that smile makeovers exist that can transform
your smile without major surgery or lengthy treatments! This cosmetic dentistry
solution can whiten, straighten, replace, or enhance the overall look of your
teeth. Better yet, though most smile makeover treatments are cosmetic, certain
procedures can improve tooth function, too, resulting in a healthier and more
attractive smile.
There are varying degrees of dental work necessary to make
your smile the best it can be. And every set of teeth is different. Let's take
a look at some of the aspects of a beautiful smile.
Teeth Whitening
Teeth whitening is one of the most popular components of a
smile makeover. With in-office and take-home options, this solution can provide
dazzling results in as little as one hour. Additionally, your dentist is available
to help you choose the best shade of white for your smile and monitor your
whitening process for the best results.
Bonding
If you have chipped teeth, bonding is a great way to save
the tooth and make it look whole again. The dentist uses a super strong resin
to recreate the missing enamel.
The resin creates a firm bond with your tooth so it's stable
and safe. And it's color matched so that it blends right in with the rest of
your teeth.
Porcelain Veneers
Porcelain veneers are another versatile and popular
procedure in a smile makeover. These thin shells of porcelain cover over the
front surface of your teeth, hiding imperfections like gaps, chips, stains, or
improper size. Porcelain veneers in Beverly Hills can transform the look of
teeth, often in just two appointments.
Invisalign
Problems with alignment used to mean you wore wire braces
for several years. And braces are sometimes necessary if you have severe issues
with teeth placement. But usually, a set of Invisalign trays does the trick.
Each set of trays is specially-made to fit your teeth. They
are nearly invisible, making them more discrete than braces. And they're more
comfortable than bulky, wire braces.
Plus, with Invisalign, you can take them out to eat and
clean your teeth. And they often work faster than braces. Invisalign usually
corrects teeth alignment in about 12 months or half the time of braces.
Dental Crowns and Bridges
Dental crowns improve the look and function of a tooth by
“capping” it with a custom-made restoration that restores the size, shape, and
strength of a damaged tooth. Dental bridges can replace one or more missing
teeth by attaching a row of dental crowns that span the empty tooth socket.
Dental Implants
Dental implants are a permanent tooth replacement if you’re
missing one or more teeth. They’re made from titanium posts inserted into the
jawbone, then restored with a dental crown or bridge. Dental implants are
designed to last for many years, providing function and natural aesthetics.
One of the best investments you can make is in your smile. A
smile makeover improves the look and feel of your teeth to give you the
confidence boost you've been missing.
Make your teeth whiter and brighter with professional
whitening. Bonding fixes chipped or broken teeth while saving the root and pulp
of the tooth. And Invisalign trays can make your teeth as straight as an arrow.
If you're missing teeth, dental implants fill in the gap and
complete your smile. And dental veneers are the catchall of cosmetic dentistry.
They can fix many problems all at once.
Visit our website to learn more about the cosmetic dental
procedures we offer at Dentist in Side Turkey . We specialize in smile
makeovers to help you take on the world one smile at a time!
If you’re not happy with how your teeth look when you smile,
then a smile makeover might be right for you! Contact our cosmetic dentistry
team for an appointment. Offices in Side Antalya Turkey .






"Such a pleasant company to deal with, great communication and service... Can totally recommend"
Official Partner
Certified Clinic
Internationally Accredited Health Tourism Provider