Teeth bonding is a procedure in which a tooth-colored resin
material (a durable plastic material) is applied and hardened with a special
light, which ultimately "bonds" the material to the tooth to restore
or improve a person's smile.
Since a bonding procedure is a one-session procedure, it is
especially useful for patients who have limited time
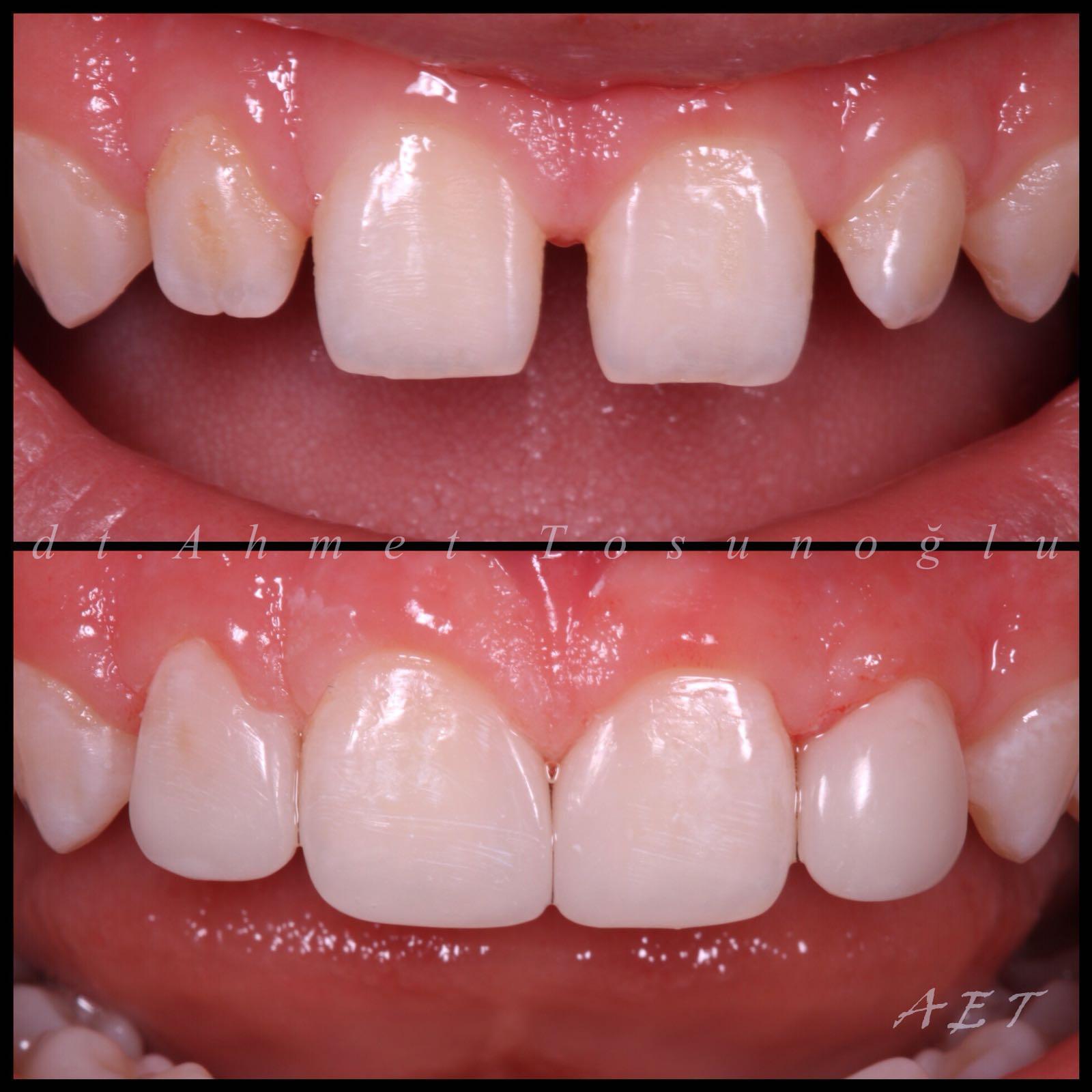
When there are gaps between teeth, for closing the gaps
In cases having short tooth lengths, for lengthening crown
lengths
For eliminating formations that are deteriorating or
discoloring teeth
When teeth are experiencing positioning problems
When there is too much abrasion on teeth surfaces, for
covering that abrasion
In cases of slight, visible tooth fractures, for restoration
of the fracture
Before the bonding process: Dental bonding does not require
much advanced planning. In addition, anesthesia is often not needed unless
bonding is used to fill a decayed tooth.
The bonding process: Your dentist will use a shade guide to
select a composite resin -- a durable plastic material -- that closely matches
the color of your tooth. The surface of the tooth is roughened and a
conditioning liquid is applied. These steps help the bonding substance stick to
the tooth. Then the tooth-colored, putty-like resin material is applied,
molded, and smoothed to the desired shape on the tooth. Next, the resin is
hardened with a special light, which "bonds" the material to the surface
of the tooth. Finally, your dentist will trim, shape, and polish the bonded
material to match the gloss of the rest of the tooth/teeth.
How long it takes to complete: The procedure takes about 30
to 60 minutes per tooth to complete.
For bonding treatment, you can get detailed information from
our side dentist Ahmet Tosunoğlu.
Porcelain veneers are tooth-colored shells that fit over the
front of your teeth. They change the shape, color, and size of teeth. They can
also fix chipped, cracked, or damaged teeth.
Although aesthetically pleasing, porcelain veneers are not
for everyone because they are more expensive and take longer to apply than
dental bonds. Bonding requires one office visit and is cost-effective, while
veneers take two or more appointments. Bonds are also reversible, while
porcelain veneers are permanent.
It is essential to have an experienced restorative dentist
apply a dental bond. This is because the material is particularly difficult to
match to your exact tooth color. Bonds also stain easier, require more upkeep,
and are less natural-looking than veneers.
Dentist Ahmet Tosunoğlu has many years of experience
in bonding and dental veneer treatments in the side dental clinic. Side
dentist clinic serves thousands of patients from abroad.
Dental bonding doesn’t have any major risks.
Keep in mind that the composite resin used with this
procedure isn’t as strong as your natural teeth.
It’s possible for the material to chip or separate from your
real tooth. Chipping or breaking, however, doesn’t occur as often with a crown,
veneer, or filling.
A bonded tooth might chip if you eat ice, chew on pens or
pencils, bite your fingernails, or bite down on hard food or candy.
The resin also isn’t as stain-resistant as other dental
materials. You may develop some discoloration if you smoke or drink a lot of
coffee.






"Such a pleasant company to deal with, great communication and service... Can totally recommend"
Official Partner
Certified Clinic
Internationally Accredited Health Tourism Provider