HOME / TREATMENT / All Ceramic Crown
All Ceramic Crown

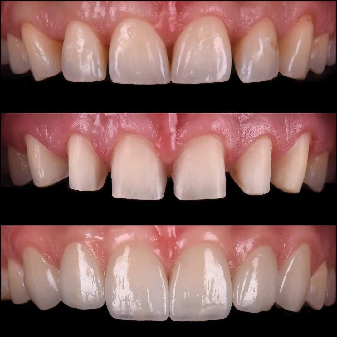
WHAT IS ALL CERAMIC CROWNS ?


All-ceramic crowns can create some of the most aesthetically-pleasing restorations available today. Using a no metal substructure allows light to be transmitted through the crown, closely replicating the translucency of a natural tooth. 

If your tooth has become broken, badly decayed or damaged in such a way that a filling is not strong enough to support the tooth, then a Crown may be recommended by your dentist as the most suitable treatment option for you.

A crown (also known as a ‘cap’) is a protective cover fitted over the existing structure of a broken or damaged tooth to restore function and appearance. With advances in modern dental technology, all-ceramic crowns are proven to be as strong and durable as metal porcelain crowns and so they are able to offer patients the best of both worlds – a long lasting and natural looking solution.

With no black line at gum level and made to match your natural teeth in shape and colour, an all-ceramic crown is a natural looking restoration that can blend into the rest of your smile. Crowns can be the ideal treatment option for the following dental situations:

-To restore badly broken teeth
-To restore teeth that have been heavily filled and become weak
-To reshape, an uneven or unsightly tooth to match your surrounding teeth
-To restore the brightness to discoloured teeth
-To protect a root treated tooth
-You have a bridge or denture which needs to be held in place
-To replace an old crown that no longer fits very well or that has become discoloured

If you want to learn more about full ceramic crowns and how they can help you smile with confidence, you can get detailed information by contacting our friendly reception team at Side Dental Clinic.

Clinicians must understand the physical and esthetic properties of these materials in order to provide appropriate treatment recommendations
Due to improvements in materials and the sustained demand for esthetic and metal-free restorations, the use of all-ceramic restorations has become ubiquitous.1 Although there is a plethora of all-ceramic systems, many are becoming obsolete almost as quickly as they were introduced due to the distinct advantages of lithium disilicate and zirconia. The wide range of clinical applications for these materials includes veneers, partial-coverage crowns, crowns and fixed dental prostheses .

Successful application of all-ceramic materials depends on the practitioner’s ability to select both the appropriate material and cementation protocol that satisfy the patient’s needs and expectations.3 The selection of a particular ceramic system should be based on physical properties — such as strength, fracture resistance, wear resistance and long-term outcomes — as well as esthetic considerations. Hence, the dentist must understand these materials and systems so he or she can educate patients and present appropriate treatment options. This article will review clinical considerations for choosing all-ceramic materials.

LITHIUM DISILICATE CERAMICS
ZIRCONIA-BASED CERAMICS
MONOLITHIC RESTORATIONS
CEMENTATION OR BONDING

You can find the details of the materials to be used in full ceramic systems in our next articles.
If you want to start life with a new smile, contact us now for a change.

Side Dental Centre By Dentist Ahmet Tosunoğlu


OUR SERVICE
HOLIDAY PLANS
HOLIDAY PLANS

We can advise you on flights, hotels, airport transfers.
WARRANTY
WARRANTY

All full ceramic treatments are under our 5-year warranty. Dental Implants are approved by the FDA-CDE and come with a lifetime warranty.
TREATMENT
TREATMENT

We care about your health. We guarantee that you will receive the best treatments without losing your health.
TECHNOLOGY
TECHNOLOGY

We offer you a quality service with X - Ray Imaging Techniques, 3D smile design software, CAD / CAM technology and New Generation Implant Applications.
TEAM
TEAM

Our team will make everything easy for you to ensure you have a great holiday and treatment process.
LOCATIONS
LOCATIONS

It is located in Side , one of the wonderful holiday resorts of Antalya-Turkey .

Trusted by Patients Worldwide

"Such a pleasant company to deal with, great communication and service... Can totally recommend"

CONTACT US

Health Türkiye - Heart of Health Official Partner
International Health Tourism Authorization Certificate Certified Clinic

Internationally Accredited Health Tourism Provider

This website was updated on Sat-Apr-2026